For our little and intermediate patients (ages 3-12) we are excited to offer an early treatment option to improve tooth alignment. Research has shown, that most crowding is due to incorrect myofunctional habits such as mouth breathing, finger sucking, prolonged use of dummies, tongue thrusting etc. These “habits” create an imbalance of the facial muscles and the tongue position and thus impair the full potential growth of the jaws.
With the use of a set of TRAINERS® and myofunctional exercises we have seen fantastic improvements in as early as 3 months of use. Parent and patient feedback has been very positive.
At present the large majority of our pre-teens are opting for this mode of treatment with the aim of minimising, if not preventing, future need for conventional orthodontic intervention.
If you are noticing early crowding of your child’s teeth, thumb sucking, snoring or in
general poor sleep, call the surgery and arrange an appointment with either Dr Tanja Hollfelder, Dr Vilia Palamountain or one of our dental therapists. They are more than happy to have a detailed chat with you about the early treatment options.
For more information take a look at www.myobrace.com

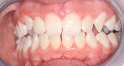
Myobrace before:
Myobrace 6 months after:
Please appreciate that everyone is different. We are not attempting to represent that exactly these results can be achieved for your child, but we hope that these images could help you make an informed choice as to whether we can offer an alternative you would like to explore.
What is Orofacial Myology?
Orofacial mycology is the science and clinical knowledge of restoring normal and mutual interaction of the orofacial muscle groups (muscles of face and mouth), dentition and respiration that is the physiological basis of speaking, chewing and swallowing. It is a program designed to correct orofacial muscle dysfunction and abnormal swallowing patterns.
Orofacial Myofunctional Disorders are any pattern involving oral and/or orofacial muscles that interfere with normal growth, development or function.
Correct function or oral and facial muscles is paramount for facial development including tooth alignment, jaw shape and function.
What can lead to Orofacial Myofunctional Disorder?
In most cases it is the result of a combination of factors and may result from any of the following:
• Improper oral habits, such as thumb or finger sucking, dummy, blanket etc
• Orofacial habits such as nail biting, cheek and lip biting, clothes chewing and grinding of teeth
• Restricted airway, which can be due to enlarged tonsils or adenoids, a narrow or vaulted palate, a large tongue, an oversize uvula and/or allergies
• Structural or physiological abnormalities such as lingual frenum (tongue tie)
• Neurological predisposition to some of the above factors